Сильный ожог вызвала проглоченная батарейка у ребенка из ХМАО

Проглоченная батарейка прожгла пищевод ребенку из Нижневартовска (ХМАО). Об этом сообщили в пресс-службе окружной больницы.
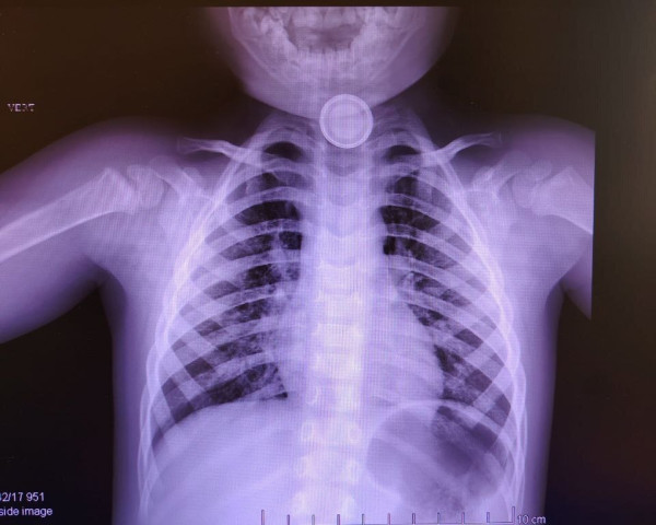
Ребенок попал в больницу с затрудненным глотанием и слюнотечением. В ходе обследования на рентгеновском снимке медики обнаружили, что малыш съел батарейку. Она застряла в пищеводе.
Врачи достали посторонний предмет, однако он уже успел повредил стенку пищевода – юному пациенту диагностировали ожог.
– Учитывая тяжесть состояния от полученной травмы, ребенок был госпитализирован в отделение реанимации, где проводилась интенсивная терапия. После стабилизации состояния малыша перевели в детское хирургическое отделение, где было продолжено ранее начатое консервативное лечение, – рассказал врач-детский хирург Нижневартовской окружной клинической детской больницы Вячеслав Воронин.
Сейчас у ребенка наблюдается положительная динамика к выздоровлению. В скором времени его отправят домой.
Специалисты напоминают, что проглоченные батарейки, магниты, булавки и другие инородные тела могут вызвать тяжелые травмы внутренних органов. Если малыш съел инородный предмет, следует немедленно обращаться в больницу.
Ранее «Вестник» писал, что проглоченная батарейка прожгла пищевод 11-месячному малышу в ХМАО.
Подписывайтесь на наш telegram-канал и группу во "ВКонтакте": там только самые важные новости из жизни Сургутского района, Сургута и ХМАО.
ФОТО пресс-службы Нижневартовской окружной детской больницы
чтобы не пропустить новые публикации

